Impression 3D en interne d'une gouttière occlusale pour un patient présentant des habitudes parafonctionnelles et une usure prématurée des dents

Dans le cadre d'un flux de travail traditionnel, la fabrication des gouttières occlusales est généralement déléguée au laboratoire dentaire. Là, les techniciens de laboratoire fraisent les gouttières à partir d'un bloc de matériau solide ou les fabriquent de manière additive par impression 3D. Les gouttières fraisées fournissent un dispositif durable et optiquement clair, mais le matériau et l'équipement de fraisage sont plus coûteux que les processus d'impression 3D.
Les progrès des technologies de scan et d'impression 3D ont permis aux laboratoires et aux cliniques de réduire les coûts et d'améliorer l'efficacité, sans compromettre la qualité. L'impression 3D de gouttières en interne est désormais possible avec Dental LT Clear Resin (de Formlabs Dental) et une imprimante 3D SLA, telle que la Form 3B+ de Formlabs Dental. L'utilisation de l'impression 3D dans les cliniques dentaires permet non seulement d'améliorer les délais de production, mais aussi de réduire le coût du dispositif, de réduire le temps de pose et de fabriquer rapidement un deuxième dispositif en cas de perte (le fameux « mon animal de compagnie a mangé ma prothèse de nuit ») sans coût supplémentaire important. La possibilité d'imprimer des gouttières en 3D de manière efficace et fiable permet aux prestataires d'offrir un soulagement rapide aux patients souffrant de douleurs dues à des problèmes occlusaux.

Dr Christopher Baer
Le Dr Christopher Baer est passé maître dans la mise en œuvre de flux de travail numériques dans son cabinet dentaire. Il dirige un cabinet dentaire entièrement numérique dans le Colorado et est également un leader d'opinion de Formlabs, conférencier et conseiller sur les technologies dentaires numériques et les stratégies de mise en œuvre. Il a plus de dix ans d'expérience dans le développement de flux de travail dentaires numériques et dans l'utilisation de la technologie dentaire pour améliorer l'efficacité clinique.
Présentation de cas et diagnostic
Un jeune homme de 17 ans accompagné de ses parents s'est présenté à la clinique dentaire après que son dentiste pédiatrique a remarqué que ses dents étaient plus courtes que la normale. L'examen des antécédents médicaux n'a révélé aucune prescription de médicament et seulement des allergies saisonnières. Les antécédents dentaires comprenaient un traitement orthodontique achevé à l'âge de 15 ans et des nettoyages dentaires annuels. Son dernier examen dentaire remontait à environ 12 mois.
Lors de l'examen clinique, il a été constaté que l'hygiène bucco-dentaire était médiocre et que le patient était peu motivé pour se brosser les dents et utiliser du fil dentaire. Des caries ont été détectées sur les dents #9 et #10 en interproximité (#21 et #22 dans la notation de la FDI/ISO 3950). Une évaluation de la dentition a révélé de l'usure parafonctionnelle : une usure antérieure modérée sur le maxillaire et une usure légère sur la mandibule. On estime que les dents antérieures supérieures ont perdu environ 1,5 à 2,0 mm de structure dentaire et que les prémolaires postérieures et les dents antérieures inférieures ont perdu environ 1,0 mm. Le patient ajoute qu'il porte parfois ses appareils de maintien traditionnels de type Hawley, mais qu'il ne se souvient pas de la dernière fois qu'il les a portés. Le patient ne signale aucune gêne au niveau de la mâchoire, ne se rend pas compte qu'il grince des dents et ne remarque pas de changement dans la longueur de ses dents. L'examen des muscles de la mastication et l'ouverture maximale de la mâchoire sont tous dans les limites de la normale, et il n'y a pas de bruit articulaire ou de déviation de la mandibule à l'ouverture. Le patient n'a pas signalé de troubles du sommeil ou de bruxisme nocturne, et ses voies respiratoires étaient dans les limites de la normale. Lorsque le patient et ses parents ont été informés de cette usure parafonctionnelle, ils se sont inquiétés et ont déclaré qu'aucun autre médecin ne leur en avait jamais parlé.
Après d'autres questions, il a été établi que le patient ne disposait d'aucun dossier numérique chez son orthodontiste. Dans le cas contraire, il aurait été possible d'évaluer la position finale des dents et l'usure qui aurait pu se produire après le traitement effectué quelques années auparavant.La décision a été prise de fabriquer une gouttière en interne afin de minimiser l'usure des dents, et de contrôler l'usure de la gouttière. L'objectif était de montrer aux parents et au patient les effets du processus parafonctionnel et de voir si un autre traitement pourrait être nécessaire.

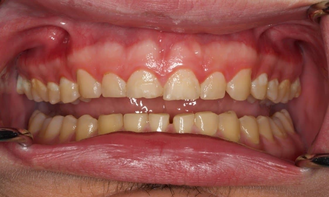
Fig. 1. Photo intraorale montrant une usure importante.

Fig. 2. Photo intraorale de l'arcade supérieure

Fig. 3. Photo intraorale de l'arcade inférieure

Commandez une gouttière gratuite
Vous êtes curieux de découvrir la qualité des impressions par vous-mêmes ? Choisissez un matériau et nous vous enverrons un échantillon gratuit imprimé en 3D sur l'une de nos imprimantes Form 3B+ pour que vous puissiez l'évaluer.
Plan de traitement
- Prophylaxie dentaire et enseignement de l'hygiène bucco-dentaire
-
Gestion des caries : restaurations directes en composite dentaire sur les dents #9 et #10 (#21 et #22 dans la notation FDI/ISO 3950)
-
Scan du cas avec un scanner intraoral (Medit i700 Intraoral) afin d'obtenir des modèles virtuels en 3D pour le suivi de l'usure, la fabrication de gouttières occlusales et pour faciliter la discussion avec les parents concernant l'usure avancée des dents de ce patient de 17 ans.
-
Fabrication de gouttières occlusales
Exécution du plan de traitement
Premier rendez-vous : Limité à la prophylaxie dentaire et à l'enseignement de l'hygiène bucco-dentaire. Bien que le soin des caries et le scan puissent être effectués lors du premier rendez-vous, il a été décidé de d'abord s'occuper de la prophylaxie et d'enseigner l'hygiène bucco-dentaire lors de la première visite, puis de demander au patient de revenir
une semaine plus tard afin d'évaluer les changements.Deuxième rendez-vous (une semaine après) : dédié à l'élimination des caries et aux restaurations en composite sur les dents #9 et #10 (#21 et #22 dans la notation FDI/ISO 3950). Des scans intraoraux ont été réalisés après la pose des restaurations en composite afin d'obtenir des modèles virtuels en 3D pour l'évaluation occlusale ainsi que pour fabriquer des gouttières occlusales. Les enregistrements occlusaux ont été réalisés en position intercuspidale maximale. Le cas a été envoyé à un service de conception externe (Evident) après la prise d'empreinte numérique avec un scanner intraoral (Medit i700). Le service de conception avait besoin des scans de l'arcade complète supérieure et inférieure, ainsi que d'au moins un scan de l'occlusion. Une fois la conception achevée, le centre fournit le fichier de la pièce et, le cas échéant, un fichier .Form pour simplifier le processus d'impression à l'aide de PreForm, le logiciel d'impression de Formlabs.
Entre les deux rendez-vous (phase de conception et de fabrication) :
-
étape de l'impression 3D : le lendemain matin, la conception de la gouttière occlusale (fichier .stl) a été chargée dans le logiciel PreForm et orientée pour l'impression sur l'imprimante Form 3B+ en utilisant Dental LT Clear Resin (V2). Ce matériau biocompatible est idéal pour la fabrication de gouttières occlusales de haute qualité et durables. Il s'agit d'un dispositif médical de classe I (États-Unis) et de classe IIa (Union européenne).

Fig. 4 et 5 : gouttière occlusale conçue dans exocad par le service de conception (Evident)


Fig. 6. Configuration de la gouttière occlusale dans PreForm, conformément au guide d'application.

Fig. 7. Configuration de l'impression 3D (Form 3B+, Form Wash et Form Cure)
- Post-traitement : Les pièces ont été lavées pendant 15 minutes (dans une Form Wash contenant de l'alcool isopropylique à 99 %), puis retirées et lavées à nouveau dans de l'IPA neuf pendant cinq minutes supplémentaires. Les pièces ont été séchées avec de l'air comprimé puis laissées à l'air libre pendant 30 minutes. Les pièces ont ensuite été post-polymérisées dans la Form Cure à 60 °C pendant 60 minutes. Après l'impression, la plateforme de fabrication a été retirée de l'imprimante afin de procéder au post-traitement des pièces.

Fig. 8. Gouttière occlusale imprimée en 3D et déprogrammeur Kois sur une plateforme de fabrication.

Fig 10. La gouttière occlusale avec ses structures de support et après la post-polymérisation.

Fig 11. La gouttière occlusale avec ses structures de support et après la post-polymérisation, deuxième vue.
-
Polissage :
- Les structures de support ont été enlevées et les étapes de polissage suivantes ont été réalisées :
-
Une fraise en carbure de tungstène à coupe transversale a été utilisée pour éliminer les marques des structures de support à la surface de la gouttière.
-
Une polisseuse en caoutchouc et en silicone a été utilisée pour lisser et égaliser la surface.
-
Enfin, un disque en mousseline/tissu a été utilisé pour rendre la surface brillante.

Fig. 12-14. Séquence de polissage de la gouttière occlusale.


Troisième rendez-vous (24 heures après le deuxième rendez-vous) : la gouttière occlusale a été remise au patient. L'occlusion a été vérifiée et équilibrée. Le patient a reçu des instructions pour nettoyer correctement la gouttière avec de l'eau et une brosse souple, et pour améliorer son hygiène bucco-dentaire. Un rendez-vous de suivi a été fixé deux semaines plus tard pour réévaluer l'occlusion et contrôler le port de la gouttière.

Fig. 15. Déprogrammeur Kois et gouttière occlusale après polissage.

Fig. 16. La gouttière occlusale remise au patient.
Suivi/contrôle
La gouttière a été vérifiée lors du rendez-vous et il a été constaté que le matériau avait bien résisté. L'ajustement était le même et la stabilité de la couleur du matériau était excellente. La satisfaction générale du patient était positive. Le patient a déclaré que la gouttière était confortable et facile à mettre en place et à retirer, et que le matériau était facile à nettoyer.

Du scan à la gouttière : production de gouttières automatisée et optimisée au sein du cabinet médical
Rejoignez le Dr Christopher Baer pour découvrir comment améliorer l'efficacité au cabinet en intégrant votre scanner intraoral à l'impression 3D interne pour créer des gouttières occlusales. Dans ce webinaire, le Dr Baer partagera avec vous un flux de travail complet, simple et rentable pour la conception et l'impression 3D de gouttières occlusales au sein du cabinet dentaire.
Conclusion
L'utilisation d'un flux de travail numérique complet pour fabriquer une gouttière occlusale dans le cabinet dentaire est un moyen très efficace et rentable de fournir rapidement une gouttière occlusale de haute qualité au patient. Le coût de la conception et de l'impression d'une gouttière peut être inférieur à 40 €, sans frais d'expédition, ce qui est nettement inférieur à une gouttière fabriquée en laboratoire. La procédure commence par un scan intraoral, qui est ensuite envoyé par email à un service de conception externe (Evident). Ce processus de conception peut être réalisé en interne si le bureau dispose du logiciel approprié, mais l'externalisation de la conception peut rendre le processus plus efficace pour le bureau. Une fois la conception terminée, il suffit d'insérer le matériau adéquat dans l'imprimante et d'appuyer sur le bouton pour lancer l'impression.
Le lavage et la post-polymérisation de la gouttière prennent quelques heures à peine, et le polissage final peut être effectué par un assistant. La pose ne prend que quelques minutes et peut se faire moins de 24 heures après que le patient a été scanné. L'ajustement du dispositif peut être calibré par l'équipe de conception pour s'assurer qu'il soit compatible avec les préférences du praticien. Le matériau de la gouttière (Dental LT Clear Resin V2) est transparent. Après un polissage rapide, le dispositif final ressemble à s'y tromper à une gouttière fabriquée en laboratoire avec des méthodes traditionnelles. Il convient de noter que :
-
Des tests initiaux peuvent être nécessaires pour adapter le scanner de la clinique, la conception de la gouttière et l'imprimante 3D en fonction des préférences du clinicien (comme dans les processus de laboratoire traditionnels). Cela peut contribuer à rendre la mise en place du dispositif plus efficace.
-
Les dispositifs conçus et imprimés numériquement sont faciles à remplacer : en cas de perte ou de dommage, il suffit de réimprimer le même fichier. Si un patient souhaite plusieurs gouttières, comme c'est parfois le cas lorsque les patients se déplacent fréquemment pour leur travail, le dispositif peut être imprimé en double sans coût supplémentaire, mis à part celui du matériel.