Delivering Precision With Predictability: Why Guided Dentistry and 3D Printing are Non-Negotiable in the Future of Dentistry
Modern comprehensive dentistry won’t exist without guided dentistry and 3D printing technology – or that’s what Christian Coachman, founder of Digital Smile Design (DSD), believes will be the case in the near future. Here he writes about why the future of clinical execution belongs to guided dentistry and why 3D printing has a fundamental role to play.
Guided Procedures: Faster and More Precise
Very soon, I believe that there will be fewer and fewer freehand procedures in dentistry. This isn’t because dentists are not skilled, because we don’t have the knowledge, or because doing things in the standard way is not possible. The simple fact is that guided procedures are precise and quicker, and allow dental professionals to overcome a range of sources of stress that have long been accepted as normal in our profession. But first of all, what exactly are we referring to with the term ‘guided dentistry’?
What Is Guided Dentistry?
Guided dentistry is part of the full workflow in digital dentistry (seen in the image above) and takes place after our patient has accepted our treatment plan. Put simply, guided dentistry means that we use software to simulate treatment before we perform, and then produce devices to translate the project into the patient’s mouth. Our goal? To execute clinically without stress and with precision.
After treatment planning and case acceptance we can prepare for the guided execution, which involves the following three phases:
1. Design and plan in 3D software
Here we conduct disciplinary planning to design the devices for clinical execution by focusing on the detailed plan after the case acceptance.
2. Manufacture guides, appliances, and restorations
We are able to create guides and appliances based on the simulated treatment we have already planned, instead of attempting to replicate the planned treatment with freehand procedures. Designing and printing a stent or guide shows our hands how to perform the same treatment in the patient’s mouth. This is the concept of ‘copy-paste dentistry’, which enables us to take our initial plan from beginning to the end of the treatment.
3. Execute treatment
By completing our clinical work using 3D printed guides, appliances, and restorations, we are able to deliver an outcome which is much closer to our initial plan.
After we perform, we then have the opportunity to quality-control the result. By scanning the outcome and comparing this with our initial plan, we can easily see whether what we achieved is good enough and whether we need to repeat or refine. This is digital quality control, which goes hand in hand with guided dentistry.
Why Is Guided Dentistry the Future of Our Profession?
In a recent survey we launched here at DSD, we asked dentists what the biggest source of stress was in their daily work. From over 1,400 respondents:
-
80% said they have to make decisions in the mouth sometimes or often (and 17% do so with every patient). 36% reported often worrying about patient complaints and litigation. 34% fear making mistakes in the mouth most of the time.
We found these results eye-opening. Though the need for change to a standard way of working has long been apparent, these responses emphasized the unnecessary stress faced by dental professionals every day.
While many clinicians continue to produce high-quality results for patients without using guided procedures, it is not a predictable way of working and there is always the possibility for something to go wrong. I see guided dentistry as part of the solution — not just to reduce the stress experienced by dental professionals, but also to optimize patient experience and cost efficiency. Why?
-
The need to make key decisions once we’ve already started work can be a source of anxiety and being able to do so comfortably requires both experience and confidence.
-
One of the biggest sources of stress in dentistry is results which don’t align with our plan. Guided dentistry allows us to reverse engineer the result we want to achieve and get there with high predictability.
-
We can better diagnose our patients’ problems and plan their solutions.
-
By creating our plan in advance, we have the space to consider multiple options, prepare in advance for any issues we might face, and, ultimately, limit the risk of errors.
-
Planning the procedure digitally in advance means that when we come to the patient's mouth, it's like we're performing it for the second time. This increases predictability and decreases stress for the clinician and the patient.
-
By using printed guides, we are able to execute procedures that closely follow the digital simulation. This reduces chair time, making appointments more profitable and productive.
-
Patients are able to make an informed decision about their procedures after seeing and approving their treatment plan and expected final outcome. They feel safer and less anxious.
-
By quality-controlling our results against our intentions, we can identify any adjustments required and improve our skills and knowledge for future procedures.
-
We can reduce costs by needing fewer repetitions and repeat appointments.
In short, guided dentistry means not only delivering outcomes that more closely match our plans and executing clinical procedures with less stress, but also giving patients peace of mind and high predictability. In fact, when patients are educated about guided dentistry, I am convinced that they will not settle for anything less.
Guided Dentistry Needs 3D Printing
Guided dentistry is only possible today because we can 3D print a wide range of devices. And, let’s face it, for dental clinics to realistically implement guided dentistry while maximizing the efficiency and costs of appointments and treatment, smart chairside solutions are required. Dentists need a scanner to digitize their patient and they need a 3D printer in house to fabricate guided dentistry appliances.
This is what I spoke about in a recent video we created about the new Form 4B 3D printer from Formlabs Dental.
Product Demo: Form 4B Dental 3D Printer
Blazing speed meets unmatched accuracy in the next generation of dental 3D printing. Explore the latest innovations in our webinar.
For What Types of Procedures Can We 3D Print Appliances?
There is a common misconception that guided dentistry is confined to the field of implantology when, in reality, these protocols and techniques can be applied to a range of specializations. For example, at a recent DSD Clinical course, we used Form 4B to produce guides and models for eight live patient procedures.
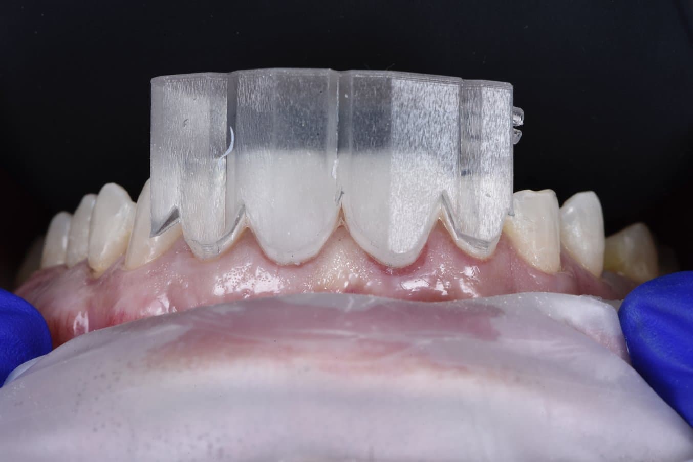
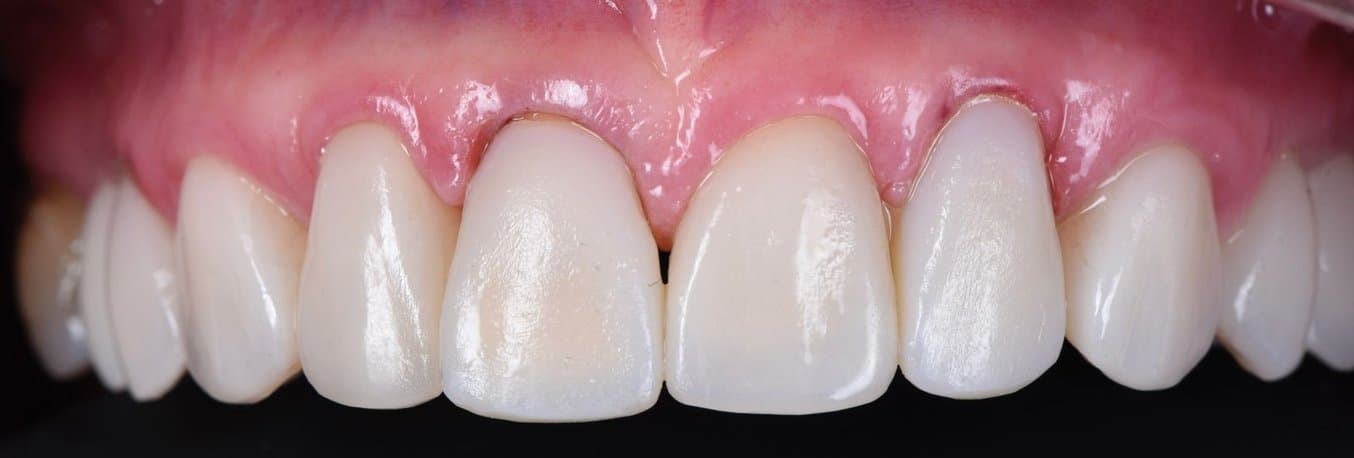
1. DSD Natural Restorations
Reduction guides printed using Dental LT Clear Resin.
Producing natural-looking and minimally invasive porcelain veneers involved the use of several models and guides:
-
A model for the technical mockup
-
A model for the direct provisional
-
Reduction guides
-
Calibration guides for guided preparation
-
A precision model to adapt the manufactured final veneers
2. DSD Direct
A direct composite restoration guide printed with IBT Flex Resin on Form 4B.
For this direct composite pressed technique, we printed matrices for both upper and lower arches, and also an occlusal splint in Dental LT Comfort Resin.
3. Guided Full Mouth Implant Prosthesis
DSD Clic Guide system printed using Surgical Guide Resin on Form 4B.
Using the DSD Clic Guide system, we printed multiple guides:
-
Base & osteotomy guide
-
Implant guide
-
Multi-functional guide
-
Immediate loading transfer guide
4. Orthodontics
Guide for placing TAD printed using Surgical Guide Resin.
We printed guides for the placement of Guided Temporary Anchorage Devices (TADs). This is a reliable method that reduces treatment time and enables more predictable outcomes.
5. Digitally Guided Partial Implants
Surgical guide printed with Surgical Guide Resin on Form 4B.
One of the challenges of guided implantology is not only to place the implant but to capture the provisional immediately and ensure that it remains in the planned position, considering biology (maintaining the emergence profile), esthetics, and function, since if any of these parameters fail, the treatment may be compromised.
That’s why we created a guide for the precise placement of the implant and another guide for the precise placement of the immediate provisional following the principles described above.
6. Full-Arch Implant Prosthesis
In this procedure we transitioned a previous DSD Clic Guide patient from an immediate-load prosthesis to a final one, using printed provisionals to confirm the design fit, occlusion, and esthetics before manufacturing the final titanium zirconia prosthesis.
7. Digitally Guided Crown Lengthening
Crown lengthening guide printed with Dental LT Clear Resin.
We produced a model and a DSD Double Crown Lengthening Guide to ensure precise execution with accurate soft tissue reduction or bone remodeling, if required.
8. Chairside Veneer
Anterior veneers printed with Premium Teeth Resin on Form 4B.
This procedure involved removing the veneer using a laser, scanning the tooth, and fabricating a temporary printed veneer. We also printed a model of the prepared tooth to ensure fit and precision before final placement.
Request a Free Sample Part
See and feel Formlabs quality firsthand. We’ll ship a free 3D printed sample part printed on the Form 4B to your office.
Where the Future of Dentistry Is Headed
Guided dentistry means that we use software to simulate treatment before we perform, and then devices to translate the project into the mouth. Guided dentistry means delivering outcomes that match plans and executing clinical procedures with less stress. Finally, it means offering patients results that match as closely as possible what is promised to them in the treatment plan.
I believe the future of clinical execution is guided dentistry and that this future needs 3D printing.
Explore Form 4B to start printing or contact sales to learn more.
DSD Founder, Christian Coachman, graduated in Dental Technology in 1995 and in Dentistry in 2002 from the University of São Paulo/Brazil. He is the former president of the Brazilian Society of Esthetic Dentistry and a member of the European and American Academies of Esthetic Dentistry.
He also serves as an adjunct professor of the Restorative Department at University of Pennsylvania School of Dental Medicine and speaks and publishes internationally in the fields of esthetic, interdisciplinary and digital dentistry, as well as innovation, communication and marketing.


