placeholder
WHITE PAPER
Formlabs Logo

Double Digital Full-Mouth Rehabilitation With 3D Printing: Implant Placement and Immediate Loading With Temporary Prosthesis

In this clinical case, Dr. Andrea Bevilacqua presents a step by step overview of how he performs a complex full-mouth rehabilitation in two appointments, combining guided implant placement using a printed guide with Surgical Guide Resin and immediate provisional rehabilitation with printed prosthetics using Premium Teeth Resin.

Double Digital Full-Mouth Rehabilitation With 3D Printing: Implant Placement and Immediate Loading With Temporary Prosthesis

placeholder

In this clinical case, Dr. Andrea Bevilacqua presents a step by step overview of how he performs a complex full-mouth rehabilitation in two appointments, combining guided implant placement using a printed guide with Surgical Guide Resin and immediate provisional rehabilitation with printed prosthetics using Premium Teeth Resin.

Headshot

About the Author

Dr. Andrea Bevilacqua is a dental practice owner and expert in digital dentistry who graduated from the State University of Milan's Hospital Galeazzi in 2020. He is the creator and CEO of the revolutionary concept Digital Patient®, and the author of the book Digital Patient in Dentistry (2020). An active promoter of new concepts like Perfect Smile Concept®, TartarQ®, and ParodontOK®, he is also a respected speaker at national and international meetings. Dr. Bevilacqua is a Key Opinion Leader for Medit and an active member of the Digital Dentistry Society.

Introduction

This case demonstrates a full in-house digital workflow for a complex full-mouth rehabilitation, successfully combining guided implant placement with immediate loading.

What makes this protocol relevant is its streamlined, in-house process, which radically improves efficiency and predictability. By leveraging intraoral scans, guided surgery, and 3D printing, it allows for the delivery of highly precise, functional provisional prostheses in record time. This not only enhances the clinical workflow but also significantly elevates the patient’s experience by reducing chair time and providing a functional and aesthetic solution on the same day as their surgery.

Starting with a complete Digital Patient avatar, the team planned and executed the placement of 13 implants (upper and lower). A surgical guide was designed in RealGuide and printed on the Form 4B stereolithography (SLA) 3D printer with Surgical Guide Resin in less than 60 minutes, ensuring precision and safety.

Following the procedure, the patient received two printed provisional full-arch, screw-retained, implant-supported prostheses. These were designed by an external dental lab using exocad, then printed on Form 4B with Premium Teeth Resin in under 30 minutes. The final printed prostheses were aesthetically pleasing, mechanically stable, and dimensionally accurate.

Compared to traditional dental lab workflows — which can take days — this protocol allows for same-day surgery and prosthetics, proving the power of an integrated digital solution to transform both the clinical workflow and the patient experience.

Summary of the Protocol:

First Appointment: Digital Patient Registration and Alignment

  • Intraoral scanning

  • Extraoral scanning

  • CBCT acquisition

In-Between Appointment: Digital Implant Planning and Wax-Up

  • Digital design of the surgical guides

  • Digital design of the preliminary prosthesis based on the wax-up

  • 3D printing of the surgical guides and preparation for clinical use

Second Appointment: Full-Arch Implant Placement and Immediate Loading

  • Implant placement using the surgical guides

  • Final implant position registration and data transfer to the laboratory

  • Modification of the wax-up and prosthesis according to the final implant position

  • Transfer of STL files for in-house 3D printing

  • Double full-arch immediate loading with the printed prostheses

Form 4B 3D printer

Get in Touch

Whether you need to produce occlusal splints in-house, or are looking for high-throughput production of dental models, we're here to help. Get in touch with a dental expert to find the right solution for your business. 

Case Presentation and Diagnosis

A 63-year-old male patient, ASA 1, came to the clinic expressing a strong desire to “finally have fixed teeth again.” Following some personal issues, he has neglected his oral health for the last 30 years, which lead to the several dental complications such as progression of severe periodontal disease and complete tooth loss.

During the clinical examination, the patient was wearing two full removable dentures which the patient said to have been using for 15 years.

Dentures in the mouth
Scan of gums

During clinical examination and CBCT evaluation it revealed severe maxillary atrophy (Cawood & Howell class V-VI), with reduced posterior bone height and unfavorable sinus pneumatization. The mucosa appeared thin but healthy, with no active infection. The mandible showed preserved basal bone and favorable ridge width posterior to the mental foramina.

Screenshot of imaging
x-ray
Imaging

Treatment Plan

The proposed treatment plan included two appointments where the following procedures would be performed:

First appointment: Full data collection (CBCT, intraoral scans, photos, and face scan) and establishing the treatment plan.

Second appointment: Double full-arch guided implant surgery using 3D printed surgical guides printed with Surgical Guide Resin on the Form 4B and delivery of 3D-printed screw-retained provisional prostheses (upper and lower arches) using Premium Teeth Resin. The detailed procedure is as follows:

  • Maxilla: Placement of seven implants, including two pterygoid implants to ensure posterior anchorage and avoid sinus grafting.

  • Mandible: Placement of six implants, with two 8 mm short implants positioned in the posterior areas above the inferior alveolar nerve, maximizing available bone without the need for nerve repositioning.

  • Immediate rehabilitation with two provisional upper and lower full-arch implant-supported prosthesis.

Execution of Treatment Plan

1. First Appointment

Full data collection (CBCT, intraoral scans, photos, and face scan) to create the Digital Patient and establish the treatment plan.

Scan of mouth
Imaging
Facial scan
Digital patient

1. Scanning

2. CBCT

3. Facial Scan

Result: Digital Patient

A series of intraoral and extraoral scans were performed to digitize the case. The individual steps for each data capture can be seen below.

1.1 Intraoral Scanning

The intraoral anatomy of the patient for both the upper and lower jaws was captured using an intraoral scanner (Medit i900).

Intraoral scan of the upper jaw
Intraoral scan of the lower jaw

Intraoral scan of the upper jaw.

Intraoral scan of the lower jaw.

1.2 Extraoral and Intraoral Scanning

The upper and lower dentures of the patient were scanned extraorally using the same intraoral scanner (Medit i900).

Scan of a denture
Extraoral denture scan
Scan of denture plus intraoral scan

Extraoral denture scan used to align with the intraoral data.

This data is matched in Medit’s Design software as it follows:

Medit information for denture

Duplicate denture

Cut denture

Invert denture

Align denture with edentulous scan

Afterwards, the VDO is recorded by relining the dentures, placing them in the patient's mouth, and rescanning.

Extraoral scan of the upper denture and relined upper denture.
Extraoral scan of the lower denture and scan of the relined lower denture.
Intraoral scan of the relined dentures in biting position

Extraoral scan of the upper denture and relined upper denture.

Extraoral scan of the lower denture (with posterior composite markings for better capturing) and scan of the relined lower denture.

Intraoral scan of the relined dentures in biting position to register VDO.

1.3 Merging the intraoral and denture data

The denture scanned extraorally is imported to the CAD software, cut, and inverted so that the intaglio surface of the denture can be aligned with the edentulous scan.

Using Medit’s Design software, the intraoral scan of the relined dentures in biting position enables merging the intraoral soft tissue data with the individual extraoral scans of the upper and lower dentures. This way, we can efficiently establish the vertical dimension of occlusion (VDO).

Aligned scans
VDO of upper and lower jaw

Upper and lower jaw intraoral scan properly aligned thanks to the registration of the relined dentures and biting position of those in the patient’s mouth.

VDO established for the upper and lower jaw.

1.4 Extraoral Facial Scan

The patient’s extraoral facial data was captured using an extraoral scanner (RayFace) so it could then be merged with the intraoral data.

Digital patient
Digital patient

Digital patient with integrated facial scan, intraoral scan of the maxillas, and with dentures.

1.5 Merging the CBCT to the Facial and Intraoral Scans

In order to integrate the CBCT to the data captured from the intraoral and extraoral scan, a CBCT was done on the patient while wearing the dentures with added anatomical landmarks. The integration of the data with the CBCT will allow the implant planning and consecutive steps.

Dentures with anatomical landmarks
Dentures with anatomical landmarks
Dentures with anatomical landmarks

Dentures with anatomical landmarks.

CBCT of the patient and anatomical landmarks on the denture captured

CBCT of the patient and anatomical landmarks on the denture captured (RealGuide).

Screenshot of aligning CBCT with the dentures with anatomical landmarks.
Aligning relined denture plus intraoral data to the anatomical landmarks in the CBCT.
Intraoral data (soft tissue) aligned to the CBCT.

Aligning CBCT with the dentures with anatomical landmarks.

Aligning relined denture plus intraoral data to the anatomical landmarks in the CBCT.

Intraoral data (soft tissue) aligned to the CBCT.

2. In Between Appointments

2.1 Digital Wax-Up

The digital wax-up was done by the dental lab based on the digital patient data provided. This wax-up will be adapted by the lab with the final implant positions on the day of the surgery.

Temporary full-arch implant-supported appliances for the upper and lower arch designed in exocad
Wax-up done in exocad upon the digital patient.

Temporary full-arch implant-supported appliances for the upper and lower arch designed in exocad upon the digital patient.

Wax-up done in exocad upon the digital patient.

2.2 Implant Planning and Surgical Guide Design

Upon the CBCT with integrated data, the implant planning was performed using Real Guide. A total of seven implants were planned for the upper arch, including two pterygoid implants to ensure posterior anchorage. Six implants were planned for the lower arch. The implant distribution was planned to optimize anteroposterior spread and reduce cantilever length. Based on this virtual implant planning, a surgical guide with fixation pins was subsequently designed.

Screenshot of surgical guide design in Real Guide
Screenshot of surgical guide design in Real Guide

Implant planning (Real Guide) for the upper arch.

Implant planning (Real Guide) and fixation pins for the surgical guide for the upper arch.

Screenshot of surgical guide design in Real Guide
Screenshot of surgical guide design in Real Guide

The surgical guide (frontal view) designed in Real Guide for the upper arch.

The surgical guide (lateral view) designed in Real Guide for the upper arch.

The surgical guide was imported into Medit Design to control the spacing and guide design prior to exporting it as an STL to 3D print.

Screenshot of surgical guide in Medit Design
Screenshot of surgical guide in Medit Design

Surgical guide imported into Medit Design.

Design check using measuring tools in Medit Design.

2.3 Surgical Guide Production in Between Appointments

2.3.1 Nesting in PreForm Dental: The surgical guide designs are exported as STL files so they can be 3D printed. The STLs are imported into PreForm Dental, Formlabs’ free print preparation software. In PreForm, the guides are  properly oriented (parallel to the build platform) and supported. Then, the material for printing can be selected and the surgical guides can be sent to the Form 4B 3D printer. For this case, Surgical Guide Resin was used. This material is a biocompatible, Class I material that can be autoclaved and used for printing surgical guides.

STLs of the surgical guides.
Surgical guides oriented and supported in PreForm Dental.

STLs of the surgical guides.

Surgical guides oriented and supported in PreForm Dental.

2.3.2 Setting Up the Printer: Form 4B is set-up with the resin tank, resin mixer, Flex Build Platform and Surgical Guide Resin cartridge. Once these elements are prepared, the file will start printing.

Form 4B
Resin tank and resin mixer
Flex Build Platform
Form 4B Surgical Guide Resin cartridge

Form 4B

Resin tank and resin mixer

Flex Build Platform

Surgical Guide Resin

2.3.3 Post-processing and finishing of the parts for clinical use: Once the print completes,  the parts need to be post-processed to achieve their final mechanical properties and biocompatibility. 

First, the parts need to be removed from the Flex Build Platform and washed in the Form Wash as established in the Manufacturing Guide for Surgical Guide Resin. After washing, parts are allowed to dry for at least 30 minutes before curing. Once the parts are dry, they need to be cured in the Form Cure as established in the Manufacturing Guide. Users can also select the preset on the Form Cure for Surgical Guide Resin, which will set the cure time and temperature automatically. 

Once the curing is complete, supports are removed with a cutting disk, the support tips and any edges are polished so they are smooth, the implant sleeves are inserted in the surgical guide, and the guides are autoclaved prior to surgery.

Person holding a Form 4B Build Platform with Surgical Guides on it
Form Wash with parts inside
Surgical guide on supports
Form Cure with parts inside

Print surgical guides on Form 4B.

Wash parts in Form Wash.

Allow parts to dry for at least 30 minutes.

Cure parts in Form Cure.

Gloved hands pulling supports off of a surgical guide
Gloved hands polishing a surgical guide
Gloved hands holding a surgical guide

Remove support structures.

Polish and remove indentations.

Insert implant sleeves and autoclave surgical guide.

ROI calculator on computer screen

Calculate Your Time and Cost Savings

Try our interactive ROI tool to see how much time and cost you can save when 3D printing on Formlabs dental 3D printers.

3. Second Appointment

3.1 Surgical Implant Placement

During the second appointment, the surgical implant placement was performed. Using the 3D printed surgical guides, seven implants were placed in the upper arch and six implants in the lower arch. The surgery was performed under local anesthesia using a flapless approach in both arches. Total surgical time was approximately 45 minutes. No intraoperative complications were observed.

Upper arch pre-surgical intraoral situation
3D printed surgical guide with fixation pins
Seven implants placed

Upper arch surgical procedure. From left to right: Pre-surgical intraoral situation, 3D printed surgical guide with fixation pins, and seven implants placed.

Lower arch pre-surgical intraoral situation
3D printed surgical guide with fixation pins
Lower arch with six implants placed

Lower arch surgical procedure. From left to right: Pre-surgical intraoral situation, 3D printed surgical guide with fixation pins, and six implants placed.

3.2 Post-Surgical Intraoral Scan

Scanning of implant position with scanbodies: Immediately after the implants were placed, the final implant position was captured using Apollo scanbodies and the intraoral scanner (Medit i900).

Apollo scanbodies in place.

Apollo scanbodies in place.

Upper arch with Apollo scan bodies
Intraoral scan of upper arch with Apollo scanbodies
Photo of upper arch with Apollo scanbodies
Intraoral scan of lower arch with Apollo scanbodies

Upper arch from intraoral clinical situation digitized using the Apollo scanbodies and intraoral scanner.

Lower arch from intraoral clinical situation digitized using the Apollo scanbodies and intraoral scanner.

3.3 Updating the Digital Patient Data With Post-Surgical Implant Scan

Once the final post-surgery implant positioning has been captured with the intraoral scanner, that data can be added to the pre-surgery digital patient data. All this data is then sent to the dental lab so they can adapt the wax-up done previously, to the final position of the implants. The total time between sending the file and receiving the final .STL of the prosthesis to print is 15 minutes.

Updated digital patient

Updated digital patient including post-surgical implant capture data.

3.4 Adaptation of the wax-up by the dental lab and receiving STLs for in-house production

While the patient is in the dental chair, the dental lab adjusts the wax-up considering the intraoral data with the final implant positions in exocad. The temporary full-arch implant-supported prosthesis are then exported as STL files and sent via email to the clinic for in-house manufacturing.

Temporary full-arch implant-supported appliances for the upper and lower arch designed in exocad upon the digital patient.

Temporary full-arch implant-supported appliances for the upper and lower arch designed in exocad upon the digital patient.

3.5 In-House 3D Printing of Dental Prosthesis

Once the files are received in the dental clinic, they are prepared to print using PreForm Dental and then sent to the Form 4B 3D printer for printing. For the appliances, Premium Teeth Resin was used to print both upper and lower temporary full-arch implant-supported appliances at 100 microns layer height setting — this  took 29 minutes total.  

Premium Teeth Resin was chosen as it is a ceramic-filled, Class IIa material with optimized esthetics, and mechanical resistance. The total print time is very convenient for manufacturing  same-day full-arch rehabilitations.

Upper temporary full-arch implant-supported appliance printed with Premium Teeth Resin and on supports
Lower temporary full-arch implant-supported appliance printed with Premium Teeth Resin and on supports

Temporary full-arch implant-supported appliances printed with Premium Teeth Resin (upper and lower arch).

Post-processing and finishing of the parts for clinical use: After the print process is completed, the parts need to be post-processed so they acquire their final mechanical properties and biocompatibility. First, the parts need to be removed from the Flex Build Platform and washed in the Form Wash as established in the Manufacturing Guide for Premium Teeth Resin (HT B1). After washing, parts  should dry for at least 30 minutes before curing. Once the parts are dry, they need to be cured in the Form Cure as established in the Manufacturing Guide. Users can also select the preset on the Form Cure  for Premium Teeth Resin, which will set the cure time and temperature automatically. Once the curing is completed, supports are removed with a cutting disk and the support tips and surfaces are polished.

Nine All-on-X printed in Premium Teeth Resin on a build platform
Form Wash
All-on-X printed in Premium Teeth Resin
Form Cure with dental parts inside

Print temporary full-arch implant-supported appliances in Premium Teeth Resin.

Wash parts in Form Wash.

Allow parts to dry for at least 30 mins.

Cure parts in Form Cure.

Person wearing gloves removing supports
Person wearing gloves and polishing appliance
Person wearing gloves characterizing restoration
Final temporary prosthesis ready for delivery.

Remove support structures.

Polish and remove indentations.

Final temporary prosthesis ready for delivery.

Sample part in Premium Teeth Resin

Request a Free Sample Part

See and feel Formlabs quality firsthand. We’ll ship a free 3D printed sample part printed on the Form 4B to your office.

3.6 Clinical Delivery of the Temporary Full-Arch Implant-Supported Appliances

The temporary MUA screw-retained prosthesis were installed in the patient's mouth and occlusion was checked. From the clinical perspective, occlusal contacts required minimal correction as the occlusion was already accurately planned in the CAD software. The patient expressed comfort and reported to be satisfied with the esthetic outcome.

A carefully controlled occlusal scheme with reduced posterior contacts was adopted to minimize overload during osseointegration. The patient was instructed to follow a soft diet during the initial healing phase.

Occlusion check of upper All-on-X appliance
Occlusion check of lower All-on-X appliance
Occlusion check of All-on-X appliance

Upper, lower, and occlusion check of the temporary full-arch implant-supported appliances.

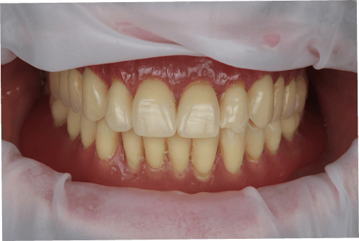
Close-up photo of immediate clinical outcome
Full-face photo of immediate clinical outcome

Immediate clinical outcome

4. Follow-up and Transitioning To Permanent Prosthesis

The patient reported to be satisfied with the clinical outcomes of the procedure and no issues were reported. The patient will continue to use the temporary appliance for at least three months before transitioning to a final, milled solution.

At the seven-day and 30-day follow-up visits, soft tissues appeared healthy, and no prosthetic or biological complications were observed.

At the five-month follow-up appointment, clinical evaluation revealed healthy and stable peri-implant soft tissues in both arches. The mucosa showed good adaptation around the provisional prostheses, with no signs of inflammation, suppuration, or peri-implant pathology.

The provisional restorations maintained adequate function and esthetics throughout the healing phase, confirming the reliability of the guided implant placement and immediate loading protocol.

Photo of face with black bar over eyes
Photo of face with All-on-X

Five-month follow-up (extraoral view)

Intraoral view five months after procedure
Intraoral view five months after procedure

Five-month follow-up (intraoral view)

Conclusions

3D printing empowers clinicians to offer high-quality solutions in shorter treatment times compared to traditional workflows. When combining and effectively integrating  all of the digital tools, there is increased predictability of the clinical outcomes. The integration of 3D printing in clinical dentistry marks a significant shift towards high-quality, efficient restorative and corrective solutions. This digital approach drastically reduces treatment times by eliminating traditional, time-consuming manual steps. 

The full benefits — including increased predictability, accuracy, and reliability — are achieved through the seamless, synergistic integration of all digital components: intraoral scanners, CAD software, 3D printers, and high-performance resins. This holistic workflow allows for meticulous planning and visualization, minimizing human error and variability for more patient-specific results.

This case demonstrates how a fully integrated Digital Patient workflow allows clinicians to manage complex rehabilitations with confidence, efficiency, and predictability, transforming same-day dentistry into a reproducible reality.

Form 4B 3D printer

Get in Touch

Whether you need to produce occlusal splints in-house, or are looking for high-throughput production of dental models, we're here to help. Get in touch with a dental expert to find the right solution for your business. 

Close up on the Form 4B touchscreen

Product Demo: Form 4B

Blazing speed meets unmatched accuracy in the next generation of dental 3D printing. Explore the latest innovations in our on-demand webinar.

Three sample parts in Premium Teeth Resin

Request a Free Sample Part

See and feel Formlabs quality firsthand. We’ll ship a free 3D printed sample part printed on the Form 4B to your office.